21 February 2017
By Dr Wendy Winnall - PCFA Research Team

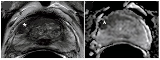
The highly-publicised PROMIS study shows that multi-parametric MRI can greatly improve the accuracy of prostate cancer diagnosis. MRI is a much less invasive test than a biopsy and doesn’t come with the risk of dangerous side effects such as infection. Should MRI be used to diagnose prostate cancer in Australia? The answer is not so simple.
To read the full article just log into the PCFA Online Community.
If you're not already a member, it is free and easy to join.














